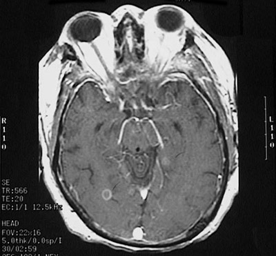
Click on the cerebral abscess in the MRI scan below:

This magnetic resonance imaging (MRI) scan of the head in transverse (axial) view demonstrates a small abscess in the brain in a patient who had septicemia.