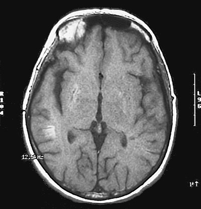
Click on the areas of infarction in the MRI scan below:

This magnetic resonance imaging scan demonstrates subacute infarctions in the right basal ganglia and also near the gray-white junction in the posterior parietal region.