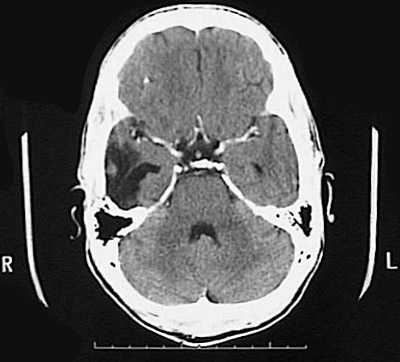
Click on the area of hemorrhage in the CT scan below:

This CT scan demonstrates a large area of hemorrhage in the right temporal lobe as a consequence of a ruptured vascular malformation.