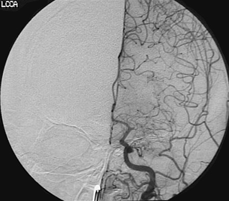
This angiogram demonstrates an embolic obstruction of a branch of the left common carotid artery just past the first main bifurcation.