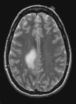
Click on the glioma in the MRI scan below:

This T2 weighted magnetic resonance imaging (MRI) scan in transverse view demonstrates an infiltrative mass involving the posteromedial right frontal lobe and parietal lobe, consistent with a glioma.