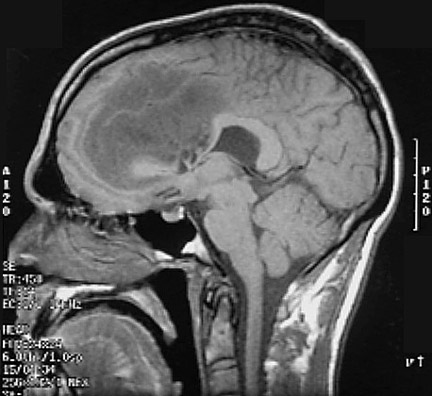
Click on the glioma in the MRI scan below:

This is a sagittal MRI scan demonstrating a large glioma impinging upon the ventricular system. A transverse view is shown below

Click on the glioma in the MRI scan below: