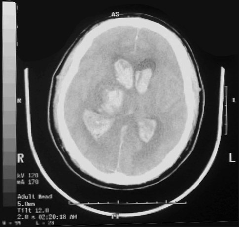
Click on the right thalamic hemorrhage in the radiograph below:

This is a computed tomographic (CT) scan demonstrating a hypertensive hemorrhage in the right thalamus that has extended into the ventricular system. Hemorrhages in this location are not amenable to surgical intervention with removal of the blood.