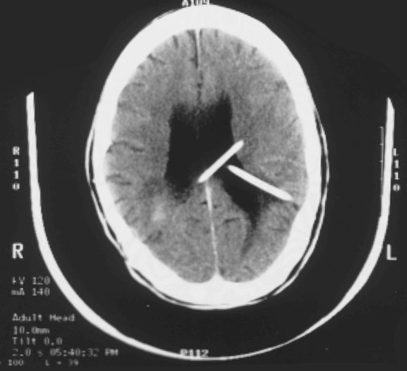
This is a computed tomographic (CT) scan demonstrating enlarged lateral ventricles in a patient with hydrocephalus. This condition has been treated by placing two shunts (the thin white objects).